

Sealants are a simple procedure for children in which a tooth colored acrylic coating is painted onto the chewing surface of the molars. They are highly effective in preventing decay on these chewing surfaces by coating over the deep grooves where decay is most likely to start.

A non-removable crown, also known as a "cap", will restore a broken, heavily-filled, or cracked tooth to its original size and shape. Crowns are used to strengthen and protect the remaining natural tooth structure as well as improve the appearance of your teeth. A non-removable bridge can restore your teeth to normal function by replacing missing teeth which can also help stabilize the surrounding teeth and maintain the structure of your face and jaw.

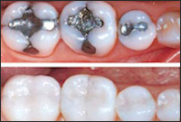
When teeth have small cavities, we clean out the existing decay and fill in the area with tooth colored composite (resins) fillings. These composite fillings require less tooth structure to be removed for the preparation, thus more conservative than preparation for a crown. In addition, composite restorations are bonded in, which creates a better seal, as opposed to amalgam fillings, and less chance for leakage.


If a tooth's pulp (nerve and blood supply) becomes infected or inflamed, root canal treatment may be the only way to save the tooth. Root canal treatment consists of removing the nerve and blood vessels that lie within the root of the tooth. In most cases, root canal treated teeth must have a crown or bridge made as a final restoration due to the tooth's brittleness after removing the blood supply.

In addition to other cosmetic dental enhancements, we offer patients a safe and effective tooth whitening option. Most discolorations are caused by smoking, coffee, tea or aging of the enamel on your teeth. We use the advanced Zoom! Whitening procedure that will quickly remove superficial stains on teeth surfaces to make them look brighter and more attractive in just a little over an hour.

Our office is equipped with the latest state-of-the-art technology Digital X-rays. Using an electronic sensor, a sharp and clear digital image can be captured that will immediately appear on a computer screen in front of the patient. These instant images can easily be enhanced to change the contrast or zoom in on a specific area of concern. Digital X-rays have 90% less radiation exposure to the patient.

Clenching and grinding can often cause major damage to your teeth as well as headaches, jaw muscle tightness, and temporomadibular joint (TMJ) discomfort. We often make these custom made night guard appliances to provide protection against the clenching and grinding of your teeth.